
ESTUDIO DE PORCELANA SUIZO
La Cima de la Odontología de Precisión en México.
SOBRE NOSOTROS
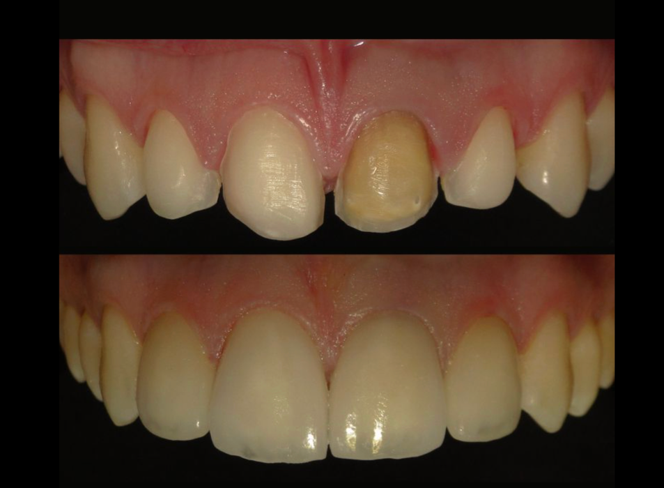
Especialistas en Cerámica, Zirconia y alta Estética
Nuestra trayectoria, comenzó con un sólo horno de cerámica hasta convertirnos en el referente líder en México para resolver casos dentales complejos. Nuestro enfoque en calidad nos ha dado una reputación de excelencia durante más de 30 años.
35
Años de Experiencia
45
Técnicos Calificados
100k+
Casos Completados
NUESTROS SERVICIOS
Más de 3 décadas trabajando con los mejores dentistas, rehabilitadores y especialistas.
¡Descubre nuestro flujo de trabajo hoy!



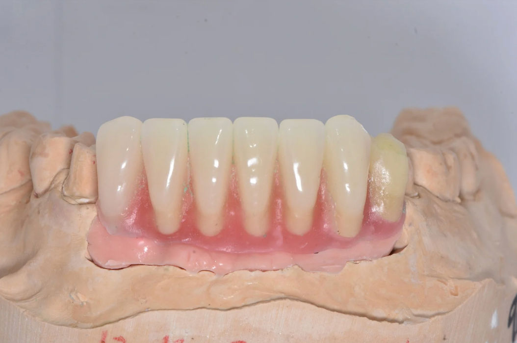
ALL - ON - X TITANIUM ZIRCONIA CASES
Los implantes dentales son un excelente tratamiento para pacientes edéntulos, nuestras barras de titanio darán una sólida estructura, para un acabado de alta estética en Zirconia y cerámica.

ESPECIALISTAS EN TECNOLOGÍA
Líderes en Casos Digitales
La tecnología es asombrosa y nos permite ofrecer nuevos procesos para mejorar constantemente la experiencia de nuestros clientes.
SHOWCASE
SUBMIT A REQUEST
Cotiza con Nosotros!



















